Introduction
Prion diseases are rapidly progressive and fatal neurological conditions of undetermined nature which can be classified into sporadic, genetic, or acquired (1). Among the sporadic diseases, Creutzfeldt-Jakob's disease (CJD) is the most prevalent, followed by sporadic fatal insomnia and variably protease sensitive prionopathy. Genetic conditions are characterized by their dominant autosomal inheritance pattern, such as genetic CJD, Gerstmann-Straussler-Scheinker syndrome and fatal familial insomnia. Finally, the acquired conditions are the least prevalent and include Kuru's disease, iatrogenic CJD and variant CJD (2). All of these disorders are characterized by the accumulation of abnormally folded and differentiated prion proteins called protease-resistant prion proteins (PRPSc), due to their post-translational conformation into β-sheets which confers them resistance to protease activity, as opposed to the conformation of α-helixes observed in the normal form of the cellular prion protein (PrPc) (3). The PrPc is normally found in human brain cells anchored to neuronal plasma membranes via the glycophosphatidylinositol, while its anomalous form, the PrPSc, is usually found inside the cell predominantly in cytoplasmic vacuoles and secondary lysosomes (2).
Although the functions of PRPc have not yet been fully elucidated, they have been described to contribute to cellular adhesion, neuroprotection, regulation of the circadian rhythm, maintenance of myelin, ionic homeostasis (especially related to copper), cell signaling, immunological functions and neuronal development (3)(4)(5). The alteration of neuronal proteostasis and the insufficient degradation of proteins lead to the accumulation of PrPSc. This promotes a state of cellular stress, proliferation of glial cells, absence of a classic inflammatory response, loss of synaptic signaling, and the induction of apoptotic pathways, cellular death and neuronal loss (6). Two theories attempt to explain the pathophysiological causes of neurotoxicity; the first one suggests that PrPSc aggregates corrupt the function of neuronal receptors such as the N-methyl-D-aspartate (NMDA) receptor, increasing the permeability of the cell membrane. The second one suggests a binding between PrPC and the membrane anchored PrPSc, acquiring the ability to act as a receptor of prionic toxicity favoring synaptotoxicity (2).
The presentation and progression of these conditions are variable, but the prognosis is always ominous. They are usually suspected in cases of rapidly progressive dementia, rapid cognitive impairment, myoclonus, pyramidal or extrapyramidal symptoms, visual or cerebellar dysfunction, and akinetic mutism (7). The diagnosis is challenging and requires a high clinical suspicion and the combination of characteristic imagenological findings, electroencephalographic (EEG) patterns and cerebrospinal fluid (CSF) analysis; with most cases being confirmed post-mortem with histopathological studies (1)(7). The present describes a case of probable prion disease with an accelerated neurological decline and presenting with a non-convulsive status epilepticus (NCSE), which to our knowledge has only been reported in less than twenty cases worldwide. (8)(9)(10)(11)(12)(13)(14)(15)(16)(17)(18)(19)(20)
Case Report
A 69 years old male with history of arterial hypertension and without any family medical records, presented to the emergency department with a two-month history of headache, recurrent amnesia, bradypsychia delirium and apathy without functional impairment. His symptoms worsened in the last 20 days presenting functional dependence for basic daily activities, unsteady gait, aggressive behavior, and myoclonic jerks of the lower limbs predominantly nocturnal. Before admission, a magnetic resonance imaging (MRI) of the brain was performed in the ambulatory setting revealing hyperintensities in the right anterior, medial occipital and lateral frontal cortex in diffusion weighted images (DWI). On admission he was alert, disorientated, with reduced activity and slowness, limited facial expressions and with no verbal response compatible with akinetic mutism. Vital signs were normal except for mild hypertension. A computed tomography of the brain was normal, and initial laboratories revealed a mild leukocytosis with neutrophilia and elevated serum creatinine. Lumbar puncture was performed revealing an increased protein level, with normal opening pressure and leukocyte count (Table 1).
Table 1 Laboratory findings
| Laboratory | Admission | Day 12 |
| White blood cell count (103/μL) | 12 | 10.99 |
| Neutrophils (%) | 72 | 81.5 |
| Hemoglobin (mg/dL) | 16.2 | 12.5 |
| Hematocrit (%) | 43.9 | 35.3 |
| Platelet count (103/mL) | 344 | 255 |
| Creatinine (mg/dL) | 1.38 | 1.13 |
| Blood urea nitrogen (mg/dL) | 18 | 37.5 |
| Sodium (mmol/L) | 141 | 139 |
| Potassium (mmol/L) | 3.7 | 3.75 |
| Chloride (mmol/L) | 103 | 98.6 |
| Magnesium (mg/dL) | 2.21 | 2.2 |
| D-dimer (ng/mL) | 450 | - |
| Prothrombin time (seconds) | 10.4 | - |
| Partial thromboplastin time (seconds) | 27.6 | - |
| C-reactive protein (mg/L) | 1.6 | 201 |
| Lumbar puncture | Admission | Day 12 |
| Opening pressure (cmH2O) | 9 | 11 |
| Appearance | Clear | Clear |
| pH | 7 | 7.1 |
| Glucose (mg/dL) | 61 | 119 |
| Protein level (mg/dL) | 73 | 37 |
| Red blood cell count (mm3) | 1 | 0 |
| White blood cell count (mm3) | 0 | 0 |
| Gram stain | Negative | Negative |
| China Ink stain | Negative | Negative |
| KOH test | Negative | Negative |
| VDRL test | Non reactive | Non reactive |
| Microbiological culture | Negative | Negative |
| N-methyl-D-aspartate receptor autoantibodies | - | Negative |
| Adenosin deaminasa (U/L) | - | 0.22 |
| Multiplex polymerase chain reaction meningitis/encephalitis panel (BioFire ® FilmArray ® System): Escherichia coli K1, Haemophilus influenzae, Listeria monocytogenes, Neisseria meningitidis, Streptococcus agalactiae, Streptococcus pneumoniae, Human Parechovirus (HPeV), Enterovirus (EV), Herpes simplex virus 1 (HSV-1), Herpes simplex virus 2 (HSV-2), Human Herpesvirus 6 (HHV-6), Cytomegalovirus (CMV), Varicela-zoster virus (VZV), Cryptococcus neoformans/gatti | - | No microorganisms reported |
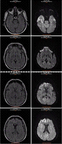
On day 3 of admission the patient presented neurological decline with dysphagia, recurrent myoclonic jerks at night time, and behavioral impairments such as aggression, psychomotor agitation and incomprehensible language. A new MRI of the brain revealed an increase on the hyperintense areas on DWI (Figure 1) ruling out neoplastic, ischemic or bleeding processes. A few days later, consciousness began to deteriorate and an EEG revealed a NCSE with moderate encephalopathy, delta/theta triphasic activity and a symmetric fluctuating frequency of 2.5 Hz throughout the reading (Figure 2). These findings were considered suggestive of sporadic onset prionopathy, and the patient was started on valproic acid 1000 mg initial dose, then 500 mg every 8 hours. Later it was necessary to add therapy with levetiracetam 1000 mg every 8 hours. Other causes of encephalopathy were taken into consideration, such as paraneoplastic syndrome and autoimmune encephalitis, for which a contrast tomography of the chest and abdomen were performed with normal results, and a therapeutic test of intravenous pulsed methylprednisolone 1000 mg every 24 hours for 5 days was initiated, with no neurological improvement. A new EEG was performed 8 days after the first one without significant changes compared to the initial one, with persistence of delta/theta activity of triphasic morphology with a frequency of 2.5 Hz symmetrical that increases and decreases along the route, compatible with NCSE.

Figure 1 MRI of the brain with flair (left) and diffusion (right) weighted images revealing hyperintensities on the upper left parasagittal frontoparietal cortex, right head of caudate nucleus, and on the right side of the anterolateral and upper frontal temporal occipital cortex.

Figure 2 EEG tracing with triphasic delta / theta activity, with a 2-2.5 Hz frequency in the left hemisphere and a maximum negativity at C3 that increases and decreases throughout the trace. These findings are present in the 50% of the reading, and are compatible with definitive NCSE. No clinical crises were documented.
On day 7 of hospitalization the neurological condition continued to deteriorate progressively. A state of stupor and a Glasgow coma score (GCS) of 7 prompted a transfer to the intensive care unit for invasive mechanical ventilation and deep sedation. A new lumbar puncture was performed which revealed a CSF of the same characteristics as the one before, with a negative FilmArray® Meningitis/Encephalitis panel (Biomerieux) and a negative report of NMDA antibodies. It should be noted that an expanded panel of antibodies was not performed due to its unavailability. In order to evaluate the neurological condition, a sedation vacation was initiated 48 hours after ICU admission with poor neurological response, therefore a therapeutic failure of intravenous corticosteroid pulses was considered and the likelihood of autoimmune encephalitis decreased suggesting a diagnosis of prion disease. Although the diagnosis of autoimmune encephalitis could not be ruled out completely, the rapid clinical and neurological deterioration, the poor neurological prognosis and the willing of the family members to limit additional interventions; made unviable to consider other therapeutic alternatives such as plasma exchange or intravenous immunoglobulin. Scheduled extubation was performed and persistence of unsatisfactory neurological evolution promptly led to bradycardia, hypotension and asystole. Decease presented fourteen days after hospital admission, and clinical autopsy was suggested but not permitted by the family members.
Discussion
The diagnosis workup of patients presenting with rapidly progressive dementia includes ruling out metabolic, infectious, autoimmune and paraneoplastic disorders. Prion diseases are usually considered as exclusion diagnoses, especially due to the limited availability of confirmation tests and the poor prognosis, with a median survival time of 4 months from the onset of symptoms (21). Some additional characteristics could aid in the diagnosis of prion diseases, such as the presence of myoclonic jerks and visual or cerebellar disturbances (21). The most common imaging finding is the presence of hyperintensities in the head of the caudate and putamen nucleus in MRI diffusion weighted images. CSF can also be tested in these patients and usually presents with high levels of 14-3-3 protein, neuron-specific enolase and tau protein (21)(22)(23). EEG findings are, however, very variable. The most common EEG pattern is the presence of periodic discharges initially lateralized and later becoming generalized in the course of the illness. This pattern has been described in up to 77 % of the patients, but there have also been described cases with normal EEG tracings (21). Recently, real-time quaking-induced conversion (RT-QuIC) has been considered as one of the most effective diagnostic techniques for prion disease. This test induces PRPc conversion into a poorly folded form which can be controlled and detected in real time by fluorescent stainings (24). The gold-standard diagnostic method remains the detection of the abnormal protein in tissue samples, which can be performed by immunohistochemistry or western blot techniques (25)(26).
The present case has many elements that suggest a probable prion disease. Amongst those are the clinical presentation, the MRI findings and the exclusion of other conditions associated with rapidly progressive dementia such as autoimmune encephalitis, metabolic disorders, neoplastic diseases and neuroinfection. It was not possible to confirm this condition since we couldn't perform specific protein measurements in CSF or histopathological studies. However, according to the 2018 CDC’s Diagnostic Criteria for Creutzfeldt-Jakob Disease, it could be classified into probable CJD given the presence of rapidly progressive dementia, myoclonus, akinetic mutism, compatible cerebral MRI findings and the ruling out of alternative diagnostics (27). An interesting aspect of the case is the presence of a NCSE, which has been described only in a few cases of CJD. A scoping review of the literature describes the association of CJD and NCSE in only 14 cases to our knowledge (8)(9)(10)(11)(12)(13)(14)(15)(16)(17)(18)(19)(20), half of these cases being classified as probable CJD as ours. The clinical presentation and outcomes in these cases are presented in Table 2. (Table 2)
Table 2 Cases of prion disease and non convulsive status epilepticus (NCSE)
| Reference | Age (years) / Sex | Symptoms at onset | EEG findings | Cerebral MRI findings (DWI) | Diagnostic classification | Time from onset to death (months) |
| Rees et al. 1999 (8) | 58 / W | Mood disturbances, confusion, unsteady gait | Continuous variable amplitude sharp waves in all areas although with a R-sided emphasis, with a repetitive appearance up to 2 per second | HP in the parieto-occipital white matter involving the right centrum semiovale with mass effect | Definite | - |
| Rees et al. 1999 (8) | 68 / M | Confusion, abnormal behavior, dysphasia, obnubilation | Periodic lateralized epileptiform discharges more marked on the L side | - | Probable | - |
| Fernandez-Torre et al. 2003 (9) | 75 / W | Confusion, abnormal behavior, dysphagia, trouble walking | Continuous diffuse spikes, rhythmic sharp waves, sharp-and-slow wave complexes | - | Definite | 2 |
| Cohen et al. 2004 (10) | 26 / M | Confusion, progressive language difficulties, dysphagia | Rhythmic 2-4-Hz delta activity intermixed with sharp waves, with a clear amplitude predominance over the L temporal region | HP involving the head of the R caudate and lentiform nuclei, and the R insula | Definite | 2.5 |
| Shapiro et al. 2004 (11) | 71 / W | Weakness, fatigue, memory loss, language difficulties | Repetitive sharp waves confined to the R frontocentral region, disorganized background with theta, delta and beta frequencies | Diffuse cortical volume loss, periventricular small vessel disease and mild restricted diffusion in the R cerebrum and L frontal lobe | Definite | 2.1 |
| Rosseti et al. 2007 (12) | 74 / W | Confusion, R extrapyramidal rigidity, rapidly progressive worsen of mental status | Iso-organized alpha-theta background with intermittently superimposed irregular spikes (about 2-3 Hz) non-reactive, slightly predominating on the R region | - | Probable | 1 |
| Lowden et al. 2008 (13) | 49 / W | L upper extremity weakness, L upper extremity myoclonic activity and spasticity | Periodic lateralized epileptiform discharges with nearly continuous spike wave discharges seen arising predominantly from the R region | HP involving bilateral caudates, putamens and thalami pulvinars | Definite | 2.3 |
| Aiguabella et al. 2010 (14) | 44 / M | Vertigo, gait abnormalities, tremor of the upper extremities | Continuous generalized periodic epileptiform discharges with a frequency of 1.5 Hz | HP in both caudate and lenticular nucleus and different cortical areas | Definite | 5 |
| Espinosa et al. 2010 (15) | 64 / W | Decline in mental status, tremor in extremities | Generalized slowing and periodic epileptiform discharges at frequency of 1-1.5Hz | HP in the R caudate and few areas of the cerebral white matter | Definite | 2.1 |
| Coric et al. 2012 (16) | 57 / W | Confusion, vomiting, headache | Diffuse spike-wave complex discharges at a rate of 2-3 Hz | High signal abnormalities in the insular cortex bilaterally and in the R temporal region | Probable | 6.2 |
| Rakitin et al. 2018 (17) | 74 / W | Language difficulties, trouble walking and swallowing | Pseudoperiodic lateralized epileptiform discharges over the R hemisphere with a frequency of 2-3 Hz | Small periventricular and subcortical white matter lesions compatible with ischaemic leukoencephalopathy | Definite | 2 |
| Mahboob et al. 2018 (18) | 60 / M | Confusion, progressively language difficulties | Focal seizure activity from L frontal region | Cytotoxic edema in the L frontal and parietal lobe with punctate calcified lesions in the R cortex | Probable | 2 |
| Katsikaki et al. 2020 (19) | 57 / M | Confusion, cognitive impairment, unsteady gait | Theta activity followed by delta activity on the L frontotemporal area | Restriction of diffusion in the frontal and parietal cortex, insula, as well as in the head of the caudate nucleus and the anterior part of the putamen on the L | Probable | 4 |
| Srichawla et al. 2022 (20) | 59 / M | Intermittent myoclonic jerks, moderate cognitive impairment, ataxic gait | Occasional generalized periodic discharges more predominant in the bifrontal leads with triphasic morphology typically at 1-2.0 Hz | HP of the bilateral temporal gyri in a cortical pattern consistent with cortical ribboning | Probable | - |
| Cubides et al. 2023* | 69 / M | Cognitive impairment, unsteady gait, fluctuating aggressive behavior and akinetic mutism, and myoclonic jerks | Triphasic delta / theta activity with a 2-2.5 Hz frequency in the L hemisphere, and a maximum negativity at C3 that increases and decreases throughout the trace | HP on the upper L parasagittal frontoparietal cortex, R head of caudate nucleus, and on the R side of the anterolateral and upper frontal temporal occipital cortex | Probable | 3 |
*Abbreviations: F: female, HP: hyperintensities, L: left, M: male, R: right. *This reference refers to the current case presented above.
There are currently no treatment options for this group of neurodegenerative disorders, which have a devastating clinical course with high mortality rates from the time of their first clinical manifestations (1). Cases that presented with NCSE had a mean survival time of 2.8 months since the beginning of symptoms (8)(9)(10)(11)(12)(13)(14)(15)(16)(17)(18)(19)(20), in comparison with cases that presented with other EEG findings that reported a mean survival time of 4 months in some series (21). This could suggest that the presence of a NCSE in the course of the disease correlates with a worse prognosis and shorter survival time. This association has not been described previously and warrants further investigation.
Conclusions
Overall, prion diseases are a group of rare disorders characterized by rapid clinical and neurological deterioration and a high mortality rate. There are many studies that could aid in the diagnosis of these conditions, but not all of these are universally accessible and, in some cases, only MRI of the brain and EEG tracings are available, often making prion diseases an exclusion diagnosis. The present case describes one of the few probable cases of prion disease associated with a NCSE, and reviews the possible association of NCSE with worse outcomes and a shorter survival time in patients with these disorders.













