Encefalopatía inducida por metanol
Hombre de 24 años, sin antecedentes relevantes, acudió a emergencias por cuadro clínico de 48 horas de evolución caracterizado por dolor abdominal, náuseas y vómitos, posterior al consumo de licor artesanal (aproximadamente 2.5 litros). Además, presentó somnolencia, diaforesis y taquipnea durante las cuatro horas previas.
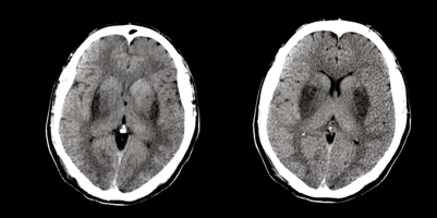
Ante la exploración física, el paciente se presentó afebril, taquipneico (45 rpm), con respiración de Kussmaul, saturación de oxígeno 98% al aire ambiente, y glucosa capilar 126 mg/dl. Al examen neurológico, presentaba somnolencia, desorientación en las tres esferas, pupilas isocóricas e hiporreactivas, reflejos de tronco encefálico conservados y mioclonías de moderada intensidad en miembros superiores. Los exámenes complementarios revelaron un hemograma normal, hiponatremia leve e hipokalemia (Na:133, K:2,62), cetonemia negativa, y acidosis metabólica con anión gap elevado (pH: 7.08). Referente a las imágenes, la tomografía axial computarizada (TAC) simple de cerebro reveló hipodensidad bilateral a nivel putaminal, compatible con intoxicación por metanol. (Figura 1).

Figura 1 Paciente con necrosis características de la intoxicación por metanol. Tomografía simple de cerebro en corte axial, que muestra hipodensidades bilaterales en ganglios de la base de forma predominante en los putamen.
Debido al progresivo deterioro del nivel de conciencia, se lo acopló a ventilación mecánica. Se administró etanol al 40%, 2ml/kg, diluido en dextrosa al 5% por vía oral; posteriormente, se aplicaron bolos de bicarbonato, logrando así corregir parámetros gasométricos y de laboratorio, estabilizándolo hemodinámicamente y culminando con la extubación del paciente. Finalmente, denotó mejoría del nivel de consciencia con persistencia de temblor distal leve y marcha atáxica.
La encefalopatía inducida por metanol puede darse por ingesta de alcohol adulterado, sustituto del etanol en bebidas alcohólicas clandestinas.(1)(2) La acumulación del metanol repercute analíticamente con acidosis metabólica severa con anión GAP elevado. Otras manifestaciones son: compromiso visual, gastrointestinal y disminución del nivel de consciencia. Es importante mencionar que la intoxicación produce liberación de glutamato, existiendo zonas susceptibles a este mecanismo como los ganglios basales (GB), afectándose primordialmente el putamen; por ello, se pueden desarrollar parkinsonismo y otros trastornos del movimiento. Los hallazgos en el estudio de neuroimagen incluyen:(1)(2)(3)
-TAC: necrosis bilateral de GB, compromiso selectivo o predominante del putamen con integridad del globo pálido (Figura 1), hipoatenuación de la sustancia blanca y hemorragia cerebral e intraventricular. (1)(3)
-Resonancia magnética: necrosis putaminal bilateral que puede asociarse a hemorragia. (3)
-T1W: hemorragia putaminal bilateral y necrosis subcortical con lesiones hipointensas de sustancia blanca con realce variable
-T2W y FLAIR: lesiones hiperintensas, con focos necróticos hipointensos. (3)
-Atípicos: Hemorragia subaracnoidea. (4)(5)












