Introducción
La encefalomielitis aguda diseminada (ADEM, por sus siglas en inglés) es una enfermedad caracterizada por la inflamación y desmielinización súbita con especial predilección por la sustancia blanca, no obstante, ciertas regiones de sustancia gris como son los ganglios de la base o la médula espinal, también se pueden ver afectados. Dicha dolencia suele manifestarse pasadas entre una y dos semanas a un proceso vírico o una vacunación.
Presentamos el caso de una paciente de 26 años con alteración de la sensibilidad y debilidad de boca, brazo y pierna izquierdos que, gracias a las pruebas de imagen, fue correctamente diagnosticada y recibió un diagnóstico precoz evitando mayores secuelas posteriores.
Caso Clínico
Se presenta una paciente de 26 años, que acude al servicio de urgencias de nuestro centro hospitalario por alteración sensitiva peribucal izquierda de varios días de evolución, y un episodio de debilidad en pierna y mano izquierda de unos minutos de duración, con resolución del mismo. No relata cuadros de focalidad neurológica previos.
Como antecedente la paciente presentó, una semana antes, un herpes zóster en región dorsal posterior izquierda, y actualmente se encuentra en tratamiento con Valaciclovir.
A la exploración física se objetiva hipoestesia peribucal izquierda, siendo el resto de la sensibilidad superficial normal. En el resto de la exploración se visualiza dismetría en la prueba cerebelosa de talón-rodilla en el lado izquierdo, dificultad para realizar la marcha en tándem y alteración de los reflejos osteotendinosos con hiperreflexia bilateral de predominio izquierdo. Los valores analíticos no muestran alteraciones significativas.
Dada la clínica de la paciente, se sospecha la existencia de patología de primera motoneurona y se propone realizar pruebas complementarias de imagen (RM cerebral y cervical) a fin de descartar patología inflamatoria del SNC.
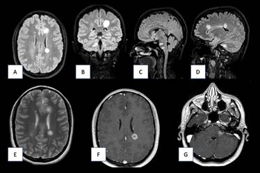
Los estudios radiológicos ponen de manifiesto a nivel encefálico la existencia múltiples lesiones de hiperseñal localizadas a nivel de sustancia blanca bilateral con afectación de la intersección cortico-subcortical, así como lesiones infratentoriales que afectan a troncoencéfalo, bulbo, pedúnculos cerebelosos medios bilaterales y a hemisferio cerebeloso derecho (Figura 1). Dichas lesiones presentan -tras la administración de contraste paramagnético- diversas áreas de realce irregular por el mismo (Figura 2).

Figura 1 RM cerebral en los tres planos del espacio en diferentes secuencias al momento del diagnóstico. A y B) RM cerebral corte axial (A) y sagital (B) secuencia FLAIR. Se objetiva hiperintensidades nodulares en la sustancia blanca periventricular. C y D) RM cerebral corte sagital secuencia FLAIR. Afectación a nivel del troncoencéfalo (C) con presencia de dos lesiones ovoideas marcadamente hiperintensas, que también son visibles en cuerpo calloso y cerebelo (D). E) RM cerebral corte axial T2. Se objetiva hiperintensidades nodulares en la sustancia blanca periventricular. F y G) RM axial con contraste paramagnético, donde se evidencia captación de contraste de manera periférica de las lesiones antes descritas.

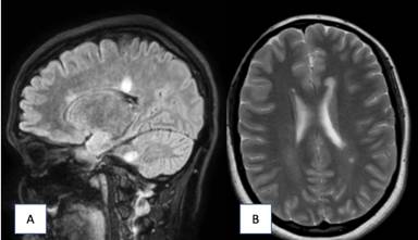
Figura 2 A) RM corte sagital secuencia FLAIR dos meses una vez iniciado el tratamiento. Se manifiesta una reducción en el número y tamaño de las lesiones localizadas en sustancia blanca. B) RM cerebral corte axial T2. Mejoría radiológica con disminución de lesiones hiperintensas presentes en sustancia blanca.
Estos hallazgos radiológicos están en relación con probables áreas de desmielinización.
Se solicitan nuevas pruebas de laboratorio, destacando una serología IgM-CMV positiva.
Los hallazgos radiológicos y el antecedente de herpes zóster dorsal izquierdo la semana previa son compatibles con encefalomielitis diseminada aguda (ADEM) como primera opción, si bien no se puede descartar por completo enfermedad desmielinizante tipo EM.
Se realiza una punción lumbar y se inicia tratamiento con bolos de metilprednisolona EV 1gr durante 5 días, tras los cuales refiere mejoría de la sintomatología. También se lleva a cabo una nueva serología apreciando IgG anti-VVZ positiva.
Al cabo de un mes ,se decide realizar una nueva resonancia magnética cerebral para valorar la evolución de las lesiones, en la cual persisten las lesiones de hiperseñal supra e infratentoriales previamente visualizadas, sin bien en este nuevo estudio la mayoría de ellas presentan una disminución significativa de tamaño, junto con una importante disminución del realce tras la administración de contraste paramagnético, siendo dichos hallazgos compatibles con una encefalomielitis diseminada aguda (ADEM) en proceso de resolución.
Discusión
La encefalomielitis diseminada aguda (ADEM) es una desmielinización de la sustancia blanca del SNC aguda y grave, por lo general, desencadenada por una respuesta inflamatoria a infecciones virales recientes (generalmente 1-2 semanas previas) y a vacunas, siendo el curso de la enfermedad monofásico (1). La sustancia gris (especialmente los ganglios basales) también suele estar afectada, al igual que la médula espinal, si bien, con una frecuencia menor (2).
Epidemiológicamente afecta a 0,8 por 100.000 habitantes/año y con mayor frecuencia en niños y adolescentes con respecto a los adultos (3)(4). Al contrario que la mayoría de las enfermedades desmielinizantes, la ADEM presenta ligera predominancia por el sexo masculino (5).
El inicio de los síntomas puede estar precedido, por una fase prodrómica asociada con fiebre, mialgia y malestar general. La clínica habitual del cuadro incluye, disminución del nivel de conciencia que varía desde letargo hasta el coma, convulsiones y síntomas neurológicos multifocales como hemiparesia y tetraparesia, así como, parálisis de los nervios craneales y trastornos del movimiento (1)(2). En ciertas ocasiones, los trastornos del comportamiento, que abarca desde irritabilidad, depresión, delirios, hasta la psicosis, pueden dominar los síntomas (2).
Los hallazgos radiológicos en la tomografía computarizada (TC), especialmente aquellos en fase aguda, pueden pasar desapercibidos o ser inexistentes (1). La resonancia magnética (RM) es la técnica de imagen de elección. Las lesiones varían desde lesiones puntiformes hasta grandes áreas tumefactas, mostrándose hiperintensas en secuencia T2, con realce en anillo cerrado o abierto tras la administración de contraste paramagnético, así como, restricción a la difusión hídrica periférica, siendo sus características por tanto, similares a las de otras enfermedades desmielinizantes como la esclerosis múltiple (EM)(1)(2). La distribución de las lesiones predomina en la interfase cortico-subcortical de la sustancia blanca supratentorial de manera bilateral, aunque asimétrica (más pronunciado que en la EM) (1). La afectación de la corteza cerebral, los tálamos y el tronco del encéfalo, pese a que es infrecuente, ayuda a diferenciarla de la EM (2)(5). Las lesiones en el momento del diagnóstico pueden presentar características radiológicas con diferentes grados de realce y restricción a la difusión hídrica (1). En las RM de seguimiento, es imprescindible para el diagnóstico de EMAD, la ausencia de aparición de nuevas lesiones. La desaparición de las mismas, el menor grado de realce con el contraste y la menor restricción a la difusión hídrica, se relaciona con la mejoría clínica del paciente (1)(2).
El LCR suele estar alterado en presencia de EMAD, con un aumento moderado de los niveles de leucocitos y proteínas. A su vez, es característica la presencia de anticuerpos de inmunoglobulina G anti-MOG (5).
El diagnóstico de la ADEM es de exclusión, incluyendo en el diagnóstico diferencial una amplia gama de enfermedades desmielinizantes, en especial la EM, siendo necesario para su diagnóstico definitivo la ausencia de nuevos brotes (1)(3).
El tratamiento inicial está basado en corticoides, requiriendo el uso de inmunoglobulinas o ciclofosfamida en pacientes refractarios a esteroides (2). La recuperación completa al mes del inicio del tratamiento oscila entre el 50-60%, permaneciendo diferentes secuelas hasta en el 30%. Un pequeño porcentaje de pacientes (10-20%) pueden sufrir un curso fulminante llegando incluso a la muerte, debido a complicación hemorrágica, conocida con leucoencefalitis hemorrágica aguda (enfermedad de Hurst) (5).
Consideraciones Finales
La encefalomielitis aguda diseminada (ADEM) continúa siendo un diagnóstico de exclusión, el reconocimiento en la presentación clínica y las diferentes pruebas diagnósticas, así como la evolución y seguimiento posteriores son esenciales para la identificación de la misma y la implantación del tratamiento adecuado correspondiente.













