Introducción
Una de las funciones más fascinantes del cerebro humano es la habilidad para la comunicación. Ésta se configura por varios sub-componentes que nos permiten, en términos generales, comprender y articular el lenguaje. Estas dos habilidades neuropsicológicas son producto de la interacción de estructuras cerebrales funcionales complejas(1)(2). En primer lugar, la articulación del lenguaje es producto de sistemas que trabajan en el córtex frontal, donde estructuras como la tercera circunvolución frontal del hemisferio izquierdo o área de Broca son responsables de los procesos de articulación motora, fluencia verbal, estructura gramatical, memoria motora para articular las diferentes palabras, uso de palabras adecuadas para describir los objetos y encontrar los nombres correctos de los objetos que permiten expresar el lenguaje oral.(3)(4)
Por otro lado, sistemas funcionales cerebrales complejos del lóbulo temporal izquierdo se encargan de la comprensión y significado del lenguaje de tipo verbal. La estructura que se encarga de esta función ha sido reconocida clásicamente por encontrarse en la parte posterior del giro superior del lóbulo temporal y ha sido denominada en honor a su descubridor, como área de Wernicke.(5)(6)
Al igual que el resto de funciones cerebrales, estas dos habilidades lingüísticas son propensas a afectarse cuando un sujeto es víctima de un daño cerebral adquirido, generando así, un cuadro de afasia tanto de Broca, Wernicke o global, en donde el sujeto evidenciará serias dificultades en su funcionamiento para comprender y expresar contenidos de tipo verbal.(7)(8)
En este contexto, en el presente artículo, surge el interés de presentar un caso de un paciente con daño cerebral adquirido, que producto de un traumatismo craneoencefálico a nivel fronto-temporal, perdió en gran nivel las habilidades lingüísticas para comprender y expresar contenido de tipo verbal. A continuación, se describe la sintomatología actual del caso, la historia del accidente cerebral, el estado cerebral premórbido, los resultados del estudio de neuroimagen y el análisis neuropsicológico del caso, para cerrar con algunas reflexiones sobre el rol del lenguaje en el diario vivir del ser humano y la necesidad de crear procesos de rehabilitación neuropsicológica y de reinserción a la vida diaria de los sujetos con afasia sobrevivientes al daño cerebral.(9)
Descripción actual del caso
Se trata de un paciente masculino de 48 años de edad, estado civil separado, instrucción primaria, obrero de construcción, católico, lateralidad diestra y domiciliado en Quito, Ecuador. El paciente acudió al servicio de psicorehabilitación y neuropsicología porque demanda olvidos y trastorno del lenguaje.
Historia del accidente cerebral
Se reporta que una madrugada, el sujeto en un posible estado etílico, sufre agresión física a nivel de pirámide nasal y labio superior, con caída de su propia altura sobre superficie de concreto y presenta golpe directo a nivel occipital. Se lo encuentra en la vía pública en decúbito dorsal, inconsciente, por lo que es llevado a un centro de salud cercano. Al momento de su llegada, paciente con aliento etílico, tendencia a la somnolencia, al estímulo doloroso apertura ocular, no emite lenguaje, solo quejidos, escala de Glasgow 10/15 (O4V1M5).
En el servicio de neurocirugía se realiza AngioTC a fin de descartar lesión aneurismática por sangrado a nivel temporal derecho. La TC simple de cráneo detecta fractura de escama occipital derecha, contusión hemorrágica temporal derecha, con efecto de masa y desplaza línea media aproximadamente 10 mm, contusiones múltiples frontobasales bilaterales, hemorragia epidural temporal laminar izquierdo y hemorragia subaracnoidea postraumática.
El paciente es intervenido quirúrgicamente por servicio de neurocirugía de craniectomía descomprensiva por TCE severo con contusión hemorrágica temporal izquierda y contusión frontobasal bilateral. Al mes de su intervención, se lo describe con buena evolución neurológica, consciente, desorientado en tiempo y persona, afasia y sin signos neurológicos de hipertensión endocraneana.
Estado premórbido
En el estado premórbido del paciente, se descartan alteraciones en su desarrollo psicomotor y lenguaje, así como problemas de aprendizaje. Se descartan también antecedentes psiquiátricos o antecedentes médicos de importancia.
Su hermana reporta que desde que le ocurrió el accidente el paciente, no habla bien, no recuerda el nombre de los hijos, se equivoca bastante, no sabe qué dice y no se entiende lo que habla y antes si era posible hacerlo. Familiares indican que antes “era un hombre sano, un hombre bueno, se llevaba bien con su hermana, responsable, trabajador a tiempo completo en la obra de la construcción, era puntual, no tenía conflictos con ninguna persona, excepto con la mujer con la que dejó de llevarse bien y terminó divorciándose, tomaba muy de repente, no peleaba, ahora casi no se le entiende”.
Actualmente se observa que se ha descuidado de su aseo personal, algo que antes del incidente no ocurría, pues cuidaba de sí mismo en su aseo personal. Era independiente, vivía solo y sin necesidad de que le estén cuidando, sin embargo, ahora requiere que se le apoye con el agendamiento de turnos y asistencia a citas médicas.
Neuroimagen
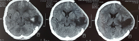
En las figuras 1, 2 y 3 se presentan neuroimágenes realizadas al paciente. (Figura 1)(Figura 2)(Figura 3)

Figura 1 Resultados de la tomografía axial computarizada en vista posterior, en la cual se puede observar la inflamación en el hemisferio izquierdo del paciente.

Figura 2 Resultados de una Tomografía Axial computarizada en la que se observa estigmas de craniectomía temporo-parietal izquierda. Engrosamiento membranoso dural. Edema cerebral con efecto de masa aún en el área temporo-parietal con compresión ventricular y desplazamiento de los marcadores de la línea media.

Figura 3 En la placa craneal se puede observar el faltante óseo del hemisferio izquierdo, producto de la neurocirugía descompresiva.
Estado neuropsicológico
El motivo de consulta del paciente referido por su hermana, incluye olvidos y trastorno del lenguaje. No se refiere trastornos de conducta. Durante la entrevista, se detecta discreta anosognosia y posible depresión en el paciente.
Durante la valoración neuropsicológica correspondiente, el paciente se encuentra alerta y abordable. En la orientación temporal 2/5 (no comprende) y orientación espacial no hay respuesta. Tras el inicio de la evaluación estandarizada, se constata que se encuentra en una condición no evaluable, ya que el paciente apenas comprende las instrucciones básicas para responder a las preguntas del Minimental Test.
Se muestra desorientado en tiempo y espacio, juicio y razonamiento comprometido, lenguaje hipofluente, parafásico, nomina con dificultad, pobre contenido sintáctico y gramatical, longitud de las oraciones escasa, comprende con dificultad moderada, repite con problemas, cálculo comprometido, procesos visoespaciales alterados y no se evidencia trastornos de conducta significativos.
En el servicio de neuropsicología, se concluye un estado de afasia global, puesto que el paciente evidencia trastornos en comprensión y fluidez del lenguaje. Además, trastorno cognitivo en múltiples dominios de tipo moderado a severo, caracterizado principalmente por presentar dificultades en el lenguaje tanto expresivo como comprensivo; también manifiesta dificultades en memoria, atención, razonamiento y abstracción.
Estado neuropsicológico al año de evolución
En el seguimiento de un año, se observa que se muestra discretamente desorientado en tiempo (no recuerda el mes ni el día de la semana). En el plano conductual no refieren trastorno de conducta. El lenguaje es no fluente, poco organizado, cargado de parafasias y comprende con dificultad, se veía invadido por una expresión estereotipada que repetía con frecuencia: “no sé”. La prosodia con la que producía ciertas palabras y sus expresiones faciales permitía inferir que no reconoce imágenes y presenta alteración para interpretar acciones representadas en láminas.
Su producción articulatoria es sumamente esforzada, imprecisa e ininteligible. La comprensión del lenguaje oral está limitada a pocas palabras, no logra ejecutar órdenes y la capacidad de repetición dificultosa. La lectura y escritura espontánea y al dictado es imposible de ejecutar. Su comunicación se limita al saludo y su estereotipia que formula constantemente.
Interpretación neuropsicológica del caso
El daño cerebral adquirido es uno de los sucesos más traumáticos para el ser humano, puesto que el sujeto que lo padece puede llegar a perder las competencias cerebrales básicas para desenvolverse normalmente en el día a día(10), tal como se ha visto en el caso descrito en este artículo, quien ha perdido la capacidad de ser autónomo y lograr continuar con su vida(11).
A nivel neuroanatómico, el daño presentado en las estructuras cerebrales, hacen que el sujeto presente sintomatología de alteración lingüística, que, en nuestra conclusión, es la clásica de un paciente con afasia global. En este síndrome es común que el paciente presente alteraciones en la fluidez del lenguaje y en la capacidad para comprender los mensajes que recibe, así como los que produce por su propia capacidad para la comunicación.(12)
La afasia se caracteriza por alteraciones a nivel del procesamiento simbólico del lenguaje y presenta alteraciones, como las presentadas por el paciente analizado, a nivel de la comprensión, expresión, denominación, fluidez y repetición, que en suelen estar concomitantes con alteraciones para leer, escribir o resolver tareas de cálculo.(13)
En el caso específico del paciente cumple con las características clásicas del paciente con afasia global, alteraciones en la fluidez y comprensión, imposibilidad de lectura y escritura, alteraciones en la capacidad de repetición y denominación y un deterioro cognitivo global.(13)(14)
A modo de cierre
En el presente artículo, hemos descrito a un paciente que presenta una alteración neuropsicológica producto de un daño cerebral adquirido, específicamente, una afasia global. Las características esenciales del paciente tienen que ver con alteraciones en la articulación y comprensión lingüística, por lo que, su condición de vida se ha visto gravemente afectada.
El principal reto en este tipo de casos radica en la intervención neuropsicológica para brindar un diagnóstico y tratamiento adecuado, puesto que el paciente, ante un ojo ingenuo, no tendría mayor dificultad, no obstante, ante un ojo clínico entrenado, se puede observar que tiene una grave discapacidad, la cual debe ser encaminada para que el paciente logre, en la medida de lo posible, tener un mejor desempeño cognitivo.
El mayor problema que sufre el paciente, son las consecuencias de esta incapacidad para comunicarse, lo cual ha hecho que pierda su trabajo y poco a poco, sea más dependiente de otras personas para realizar las actividades de la vida diaria. En este punto, es vital que en la rehabilitación neuropsicológica se apliquen técnicas de restauración, compensación y sustitución de las funciones cerebrales para ayudar a que el paciente pueda ser más independiente, o al menos, logre comunicar sus necesidades básicas.
En un siguiente artículo, es de nuestro interés presentar las estrategias que se han utilizado para el proceso de rehabilitación neuropsicológica del paciente, así como los parámetros cuantitativos encontrados en las valoraciones neuropsicológicas realizadas a lo largo de la atención terapéutica del paciente.













