SciELO - Scientific Electronic Library Online

 
vol.1 número59Hábeas corpus correctivo y su influencia para la modulación de la pena privativa de libertadDiseño curricular en educación médica: Experiencias de la Universidad San Gregorio de Portoviejo índice de autoresíndice de assuntospesquisa de artigos
Home Pagelista alfabética de periódicos  

Serviços Personalizados

Journal

Artigo

Indicadores

Links relacionados

  • Não possue artigos similaresSimilares em SciELO

Compartilhar


Revista San Gregorio

versão On-line ISSN 2528-7907versão impressa ISSN 1390-7247

Revista San Gregorio vol.1 no.59 Portoviejo Set./Nov. 2024

https://doi.org/10.36097/rsan.v1i59.3229 

Estudio de caso

Diseño de sonrisa con carillas de cerámica y técnica de alargamiento de corona. Reporte de caso

Smile design with ceramic veneers and crown lengthening technique. Case report

María Lourdes Mejía Toromoreno* 
http://orcid.org/0009-0000-3504-4749

Hidelisa Valdés Domech.** 
http://orcid.org/0000-0001-9519-1273

Graduada de la Especialidad Operatoria Dental y Estética

*Graduada de la Especialidad Operatoria Dental y Estética, Universidad San Gregorio de Portoviejo, Ecuador e.mlmejiat@sangregorio.edu.ec

**Universidad San Gregorio de Portoviejo, Ecuador hvaldes@sangregorio.edu.ec


Resumen

En la actualidad la Odontología Restauradora Estética abarca el cuidado y el mejoramiento de la apariencia del diseño de sonrisa con carillas de cerámica, procedimiento odontológico que se utiliza para mejorar la estética dental y facial. Estas carillas son una opción adecuada para corregir imperfecciones estéticas como cambios de coloración dental, fracturas, restauraciones anteriores, alteraciones dentales, entre otras. Basado en el correcto plan de tratamiento analizando la forma, color y detalles anatómicos de las piezas dentales se logra obtener un aspecto natural y funcionabilidad oclusal. En este reporte de caso, cuyo objetivo fue describir el procedimiento de diseño de sonrisa implementado mediante el uso de carillas de cerámica y la técnica de alargamiento de corona en una paciente atendida en la clínica de posgrado de la Universidad San Gregorio de Portoviejo (USGP) durante el año 2023. Se presenta el caso de una paciente de 24 años, sexo femenino, que asistió a la consulta para mejorar una restauración anterior de resina que había presentado un cambio de coloración dental. Tras una evaluación, se determinó que la opción más adecuada para lograr los resultados estéticos deseados era el uso de carillas de cerámica. Esta elección se basó en la capacidad de las carillas para proporcionar una solución efectiva y estéticamente satisfactoria para el problema de coloración y restauración dental de la paciente.

Palabras clave: carillas de cerámica; diseño de sonrisa; estética dental, sonrisa; alargamiento de corona.

Abstract

Currently, Aesthetic Restorative Dentistry covers the care and improvement of the appearance of the smile design with ceramic veneers, a dental procedure that is used to improve dental and facial aesthetics. These veneers are a suitable option to correct aesthetic imperfections such as changes in tooth color, fractures, previous restorations, dental alterations, among others. Based on the correct treatment plan, analyzing the shape, color and anatomical details of the teeth, it is possible to obtain a natural appearance and occlusal functionality. In this case report, the objective of which was to describe the smile design procedure implemented through the use of ceramic veneers and the crown lengthening technique in a patient treated at the postgraduate clinic of the San Gregorio University of Portoviejo (USGP). During the year 2023, the case of a 24-year-old female patient is presented who attended the consultation to improve a previous resin restoration that had presented a change in tooth color. After an evaluation, it was determined that the most appropriate option to achieve the desired aesthetic results was the use of ceramic veneers. This choice was based on the veneers' ability to provide an effective and aesthetically satisfying solution to the patient's tooth coloring and restoration problem.

Keywords: ceramic veneers, smile design, dental aesthetics, smile; crown lengthening

Introducción

El estándar global de belleza dentofacial se centra en la armonía, simetría, proporcionalidad y la integración de la sonrisa con características faciales individuales. Olivares (2020) destaca que irregularidades como diastemas, discromías, desalineaciones y maloclusiones afectan la percepción estética. Masson Palacios (2019) señala la creciente demanda de procedimientos estéticos dentales y la responsabilidad odontológica de ofrecer técnicas adecuadas. Se resalta la importancia del diseño de sonrisa en la mejora estética dental.

Gil et al. (2016) diferencian la estética dental, centrada en la armonía morfológica y fisiológica, de la cosmética dental, enfocada en métodos y materiales. Este concepto es subjetivo y varía culturalmente. Se han identificado múltiples factores que afectan la estética dental, incluyendo problemas de alineación, desgastes, lesiones y anomalías. Estos problemas pueden surgir de condiciones como diastemas, rotaciones y apiñamientos, impactando significativamente la estética dental.

En la planificación del tratamiento, son fundamentales aspectos como el análisis facial, la historia clínica, y en algunos casos, la derivación a otras especialidades para procedimientos adicionales como el alargamiento de corona y la gingivectomía. Estos tratamientos, que se realizan respetando el ancho biológico, tienen como objetivo armonizar la estética dental y exponer una mayor porción visible de los dientes. Es importante tener en cuenta que estos procedimientos requieren un período de cicatrización postoperatorio.

Las carillas dentales, como señalan Alvarado et al. (2018), han evolucionado como una opción restauradora importante, mejorando la apariencia y autoestima de los pacientes. Mejía & Ardón (2019) describen diversos tipos de carillas, incluyendo resina compuesta, fluida, porcelana, cerámica y zirconio. La elección entre estas opciones depende de factores como la preparación dental, los materiales de impresión, los agentes restauradores y la selección de color.

Las carillas, que suelen estar fabricadas con materiales cerámicos y se consideran mínimamente invasivas, son recomendadas para mejorar la estética de los dientes anteriores (Mason & Armas, 2019). En la odontología moderna, las cerámicas dentales juegan un papel crucial debido a su versatilidad y su capacidad para ofrecer soluciones tanto estéticas como funcionales. Entre las cerámicas dentales, el óxido de aluminio y el disilicato de litio son especialmente comunes. El óxido de aluminio se destaca por su durabilidad y resistencia a la abrasión, lo que lo hace ideal para restauraciones que deben soportar altas cargas, como coronas y puentes (Tabatabaian et al., 2022).

Al-Harthi (2018) describe la evolución de las restauraciones dentales, desde las primeras porcelanas hasta las más modernas, destacando las mejoras significativas en sus propiedades mecánicas y ópticas. Las cerámicas iniciales, de tipo feldespático, requerían el uso de soportes metálicos, mientras que las cerámicas actuales han avanzado para ofrecer una apariencia más natural y vital. Los nuevos materiales cerámicos presentan propiedades como fluorescencia, translucidez/opacidad, opalescencia, resistencia al desgaste y dureza. Además, son químicamente inertes y biocompatibles, lo que les permite imitar con precisión la apariencia natural del diente, y son altamente valoradas en la rehabilitación de tejidos dentales perdidos.

Las carillas de porcelana se han convertido en una solución estética muy popular debido a su capacidad para mejorar la apariencia de los dientes al modificar su forma, tamaño, posición o color. Son particularmente efectivas para corregir dientes desalineados, fracturados o desgastados. La demanda de resultados estéticamente satisfactorios y la conservación del tejido dental son prioridades para los pacientes (Zlatanovska et al., 2017).

Un material destacado en estética dental es el disilicato de litio, ampliamente utilizado en restauraciones como carillas y coronas debido a su durabilidad, resistencia y capacidad para imitar la apariencia de los dientes naturales. Su alta translucidez permite una excelente combinación con el color y la textura de los dientes, ofreciendo resultados estéticos sobresalientes (Martínez Galeano, 2017). Este se ha consolidado en el mercado gracias a su biocompatibilidad, alto potencial estético, buena estabilidad dimensional y superiores propiedades mecánicas en comparación con otras cerámicas dentales (Cándido, 2018). Su aplicación adecuada en tratamientos restaurativos y estéticos permite a los pacientes recuperar sus sonrisas de manera segura y eficaz (Kaur et al., 2021).

La durabilidad y efectividad prolongada de los laminados de cerámica dependen de una selección detallada del diseño, una preparación minuciosa de los dientes, su elaboración en laboratorios especializados en odontología, y la correcta implementación de protocolos de adhesión (Kalavacharla et al., 2015).

El disilicato de litio, compuesto por elementos como cuarzo, dióxido de litio, óxido de fósforo, alúmina y óxido de potasio, forma una cerámica de vidrio de alta resistencia con baja expansión térmica. La última generación de este material ofrece diversas opacidades y es compatible con técnicas de fabricación como prensado o fresado, permitiendo la producción de monobloques que imitan fielmente la apariencia de la restauración final, requiriendo únicamente un acabado superficial y glaseado (Salazar-López & Quintana del Solar, 2016).

Las restauraciones monolíticas son notablemente resistentes, con una resistencia flexural de 400 MPa y tasas de supervivencia del 97.4% a los cinco años y del 94.8% a los ocho años. Su alta translucidez y variedad de tonos hacen del disilicato de litio una opción ideal para restauraciones monolíticas posteriores.

En la Odontología Restauradora Estética, la tecnología digital desempeña un papel crucial, no solo en la selección de materiales, sino también en la visualización anticipada de los resultados del tratamiento. Las herramientas digitales y el software especializado permiten la creación de anatomías dentales idealizadas y modelos tridimensionales para pruebas preliminares (mock-up). Estos avances consideran aspectos como la anatomía dental, la oclusión, la fonética y la corrección de errores, facilitando la participación activa del paciente en el proceso decisional (García et al., 2018),

El diseño de sonrisa empleando de carillas de cerámica, implica un proceso de toma de decisiones altamente individualizado, a menudo caracterizado por la necesidad de un enfoque multidisciplinario. El estudio de caso que se presenta tiene el objetivo describir el procedimiento de diseño de sonrisa implementado mediante el uso de carillas de cerámica y la técnica de alargamiento de corona en una paciente atendida en la clínica de posgrado de la Universidad San Gregorio de Portoviejo (USGP) durante el año 2023.

La investigación describe detalladamente los procedimientos utilizados en esta técnica de restauración estética, que incluye una exploración de las etapas clínicas y decisiones terapéuticas involucradas, desde la evaluación inicial del paciente hasta la finalización del tratamiento. Asimismo, el estudio busca identificar y discutir las ventajas y posibles desventajas de los protocolos y materiales utilizados en este caso particular.

La importancia de este estudio radica en su contribución al entendimiento de los protocolos clínicos para la aplicación de carillas de cerámica en combinación con el alargamiento de corona, ofreciendo así una perspectiva sobre las implicaciones funcionales y estéticas de estas técnicas en el ámbito de la odontología restauradora y estética. La evaluación de este caso específico proporciona información sobre la eficacia, seguridad, y resultados estéticos de estos procedimientos, contribuyendo a la optimización de estrategias de tratamiento en la práctica odontológica contemporánea.

Presentación de caso clínico

El presente caso clínico tiene como finalidad la utilización de un protocolo multidisciplinario para obtener resultados estéticos y funcionales, en la sonrisa de la paciente. Para llevarlo a cabo se explicó el procedimiento y posibles complicaciones a la paciente y se llenó el formulario de Consentimiento Informado, tanto para el procedimiento como para utilizar sus datos en el estudio, manteniendo confidenciales los datos personales.

Anamnesis: Motivo de consulta, historia de la enfermedad y antecedentes

Paciente de 24 años, de sexo femenino, con antecedentes de salud, acudió a la consulta odontológica de la Universidad San Gregorio de Portoviejo (USGP) manifestando que refiere: “no me gusta que se vea el color de mis dientes cuando me río”. Refiere que hace 5 años se realizó un tratamiento de endodoncia en dientes anteriores; pero hace dos años comenzó a notar cambio de coloración en esas piezas lo que le provoca inconformidad con su sonrisa. No refiere otra sintomatología.

Examen Extrabucal

La figura 1 muestra que la paciente presenta características mesoprosópicas con una morfología facial de contorno redondeado. Se observa una proporción equilibrada entre los diámetros vertical y transverso facial, y una relación maxilomandibular dentro de los parámetros normales. Durante la evaluación, se notó la exposición de los incisivos superiores y una sonrisa clasificada como media baja, acompañada de una leve desviación de la línea media dental hacia el lado izquierdo.

Figura 1 Examen extrabucal frontal de la paciente. 

Como se aprecia en la figura 2, también se identificó una inclinación notable del dorso nasal en comparación con el plano facial. Esta observación se complementó con un análisis del equilibrio en la proyección del perfil nasal y bucal del paciente, lo cual es crucial para la evaluación integral de la estética facial.

Figura 2 Examen extrabucal de perfil de la paciente. 

Examen intrabucal

En la evaluación intrabucal del paciente se observó una dentición permanente completa con todos los dientes erupcionados. Se notó la ausencia del diente 36 y de las piezas 46 y 47. Estas extracciones se llevaron a cabo en una etapa temprana de la vida del paciente, quien no recuerda el motivo específico de dichos procedimientos.

En cuanto a las restauraciones dentales, se identificaron cambios de coloración en la pieza 21, la cual presentaba una carilla de resina defectuosa con cambio de color y bordes irregulares, atribuibles a un tratamiento dental anterior. Similarmente, la pieza dental 12, con una asimetría morfológica notable en comparación con las piezas 12, 13, 22 y 23. A pesar de la coloración homogénea en las piezas dentales y una sonrisa clasificada como media, el paciente mostraba un estado de salud periodontal adecuado.

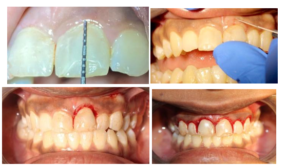
Se observaron también problemas en el contorno de los dientes anteriores y la arquitectura gingival, considerados inadecuados. La figura 3 ilustra los resultados del examen intrabucal:

Figura 3 Examen intrabucal de la paciente. 

Nota. A-B. Erupción pasiva alterada tipo IA. C-D. Los contornos de los dientes anteriores y la arquitectura gingival son evaluados como inadecuados. E. Obturaciones defectuosas en las piezas 11 y 21 mostrando una alteración significativa en la coloración. F. Ausencia de piezas dentales en el maxilar inferior específicamente las piezas 36, 46 y 47.

Diagnósticos

  • Obturaciones deficientes.

  • Erupción pasiva alterada tipo IA.

Estudios complementarios

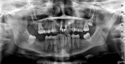
Radiografías panorámicas y periapicales: Se observan crestas óseas normales, inclinación de piezas dentales por falta de piezas adyacentes, en la pieza 11 se indica realizar retratamiento de conducto. El resultado de la radiografía panorámica se observa en la figura 4.

Figura 4 Radiografía panorámica.  

Análisis de diagnóstico: Escáner Intraoral e Impresión Digital

El escáner intraoral ofreció un método de toma de impresiones dentales digitales, facilitando la creación de los diseños tridimensionales (3D) de formas dentales provisionales. Los resultados de este procedimiento se muestran en la figura 5.

Figura 5 Escaneo intraoral. 

Plan de Tratamiento

Fase Educativa y Preparación del Entorno Oral

La intervención comenzó con una fase educativa centrada en la salud bucal, incluyendo detartraje y control de la biopelícula dental, partiendo de un índice de O'Leary del 19%.

Retratamiento de Conducto

En el ámbito del retratamiento endodóntico, se extrajeron los materiales de restauración y obturación existentes. En ciertos casos, el retratamiento se limitó a la raíz afectada por un proceso infeccioso, basándose en una evaluación radiográfica detallada de todas las raíces y la calidad del tratamiento previo, con un enfoque en la preservación de la estructura dental y la protección del equilibrio del sistema estomatognático.

Alargamiento Estético de Coronas

La planificación del alargamiento coronario estético, requirió un diagnóstico personalizado e inició con la administración de anestesia local para el confort del paciente. Se realizó la medición detallada de los niveles gingivales y la técnica de bisel interno empleada permitió un contorneado gingival preciso y la preservación de la encía adherida. El proceso se enfocó en la simetría entre las piezas dentales anteriores y la línea de sonrisa del paciente, incluyendo el cenit gingival, para lograr un resultado estético óptimo acorde con las características faciales del paciente, mejorando no solo la estética dental sino también la salud periodontal. El procedimiento se ilustra en la figura 6:

Figura 6 Alargamiento Estético de Corona. 

Durante la gingivectomía en el sector anterosuperior (piezas 11-12-13-21-22-23), se realizó una escisión de parte de la encía. Esta técnica, empleada principalmente en casos donde las carillas ocultan alteraciones de coloración dental, implicó mantener un margen subgingival limitado para evitar la visibilidad de dientes discrómicos por encima de la línea gingival. Se restringió la extensión de la carilla en el surco gingival a un máximo de 0,5 mm, manteniendo un ancho biológico de al menos 2 mm para prevenir problemas estéticos como microfiltraciones y pigmentaciones en la interfaz del cementante. El margen gingival se conformó durante las reducciones vestibulares y proximales, y se logró un perfilado final con una fresa troncocónica de punta redondeada.

En las etapas finales, se utilizó una fresa diamantada tipo bala para el redondeo de ángulos y aristas y un pulido con fresas diamantadas de grano fino y superfino; lo que no solo mejoró la adaptación de la carilla a la superficie dental, sino que también redujo la posibilidad de fracturas por tensiones excesivas y facilitó la humectación del diente por el medio cementante, mejorando así la adherencia de la carilla.

Dos meses después de la cirugía, la paciente estaba preparada para la cementación de seis carillas de disilicato de litio, material elegido por su capacidad de replicar naturalmente las características dentarias. Debido al desgaste previo de los dientes de la paciente, se requirió una reducción dentaria no estándar para alcanzar la forma y volumen deseados. Se realizó una cuidadosa selección de color y se creó un mapa de color detallado para guiar al laboratorio en la fabricación de las carillas.

El proceso de impresión se llevó a cabo con cubetas de arcada completa y materiales de impresión de diferentes densidades. Durante la retracción gingival, se usó hilo triple 0 y doble 0 en el fondo del surco, retirando el hilo más grueso durante la impresión para capturar con precisión el margen tallado.bLa carilla se asentó y se polimerizó con una lámpara halógena y un inserto de 2 mm de diámetro. Se eliminaron los excesos de cemento en fase plástica antes de realizar una polimerización completa con fibras ópticas de gran diámetro.

Finalmente, se ajustó la oclusión, se pulieron las superficies afectadas por el diamantado y se completó el caso con una revisión general y documentación fotográfica. El resultado final se muestra en la figura 7.

Figura 7 Resultado final: antes y después. 

Discusión

La innovación de los laminados cerámicos marcó un avance significativo en las restauraciones estéticas dentales. Estas técnicas han evolucionado considerablemente, ofreciendo una alternativa conservadora a las coronas de recubrimiento total. En la actualidad, los laminados cerámicos son preferidos por su naturaleza mínimamente invasiva, baja incidencia de caries asociada y alta satisfacción del paciente (Pinos Narváez et al., 2020).

La cerámica, con aplicaciones en carillas estéticas y coronas, es el material de elección en el sector anterior debido a su resistencia a la abrasión y su aspecto natural en interacción con la luz (Adolfi et al., 2020). Estos tratamientos son comunes en casos de margen gingival desigual, cambios de coloración dental y desgastes de bordes incisales, adaptándose a las características estéticas individuales para lograr resultados positivos en la vida del paciente.

Las restauraciones cerámicas ofrecen resultados estéticos de alta calidad debido a su unión con la estructura dental, variando en espesor y translucidez (Pinos Narváez et al., 2020). Entre las complicaciones de las carillas de cerámica se incluyen la hiperestesia dentaria, relacionada con la profundidad del tallado; el descementado o desprendimiento de la carilla; las fracturas, generalmente requiriendo sustitución; y fracasos estéticos debidos a errores en color, forma o integración en la sonrisa del paciente. Estos fracasos pueden necesitar repetición del tratamiento y se acentúan en casos de recesión gingival que expone los márgenes (Miguel et al., 2003). En el caso estudiado, se realizó una cuidadosa selección de color y se garantizó la adecuada cobertura gingival de las carillas, logrando un resultado estético satisfactorio y duradero.

El estudio de Gerardo et al. (2021) enfatiza la relevancia de técnicas de rehabilitación mínimamente invasivas en pacientes jóvenes con erupción pasiva alterada (EPA). Estas técnicas son particularmente útiles en casos sin desoclusiones posteriores en movimientos laterales y protrusivos, y pueden incluir gingivectomías realizadas con electrobisturí y resinas inyectadas. Ofrecen ventajas como rapidez y resultados predecibles.

Eng Mejía & Ulloa Alarcón (2019) describen esta técnica por su simplicidad y rapidez, proporcionando un alto grado de control en la predictibilidad de resultados. A pesar de su reversibilidad y mínima invasividad, su principal limitación es la colorimetría, con una tendencia a producir un color monocromático. La selección del tono es, por lo tanto, crítica. Este procedimiento ambulatorio, generalmente completado en 2 o 3 citas clínicas, tiene una durabilidad estimada de 3-5 años, aunque está sujeto a cambios de color según la dieta y cuidado dental del paciente. Por lo que se recalcó en la etapa de educación para la salud en la necesidad de mantener hábitos nutricionales y estilos de vida saludables.

Investigaciones in vitro han demostrado que no hay diferencias estadísticamente significativas entre varios tipos de preparaciones dentarias para carillas de porcelana, sugiriendo la eficacia de la preparación tipo "ventana" para mejorar la estética dental y minimizar el desgaste dentario. (Ortiz-Calderón & Gómez-Stella, 2016). Por esta razón se empleó este procedimiento en este caso con óptimos resultados. Estos hallazgos subrayan la importancia de seleccionar técnicas y materiales apropiados basados en las necesidades clínicas y estéticas del paciente, enfatizando un enfoque personalizado.

El estudio de Corral Chávez et al. (2022) resalta que la odontología restauradora contemporánea se centra en establecer condiciones óptimas, preservando la salud periodontal durante la restauración gingival, tanto en dientes naturales como en implantes, de ahí la necesidad de asociar el tratamiento periodontal al empleo de las carillas. Un análisis detallado de casos clínicos revela la importancia de un enfoque multidisciplinario para lograr diagnósticos precisos y planes de tratamiento efectivos.

Mena et al. (2018) informan que la supervivencia de las restauraciones directas de composite a los cinco años es del 89%, con cambios menores en color, translucidez y opacidad. Estas modificaciones, así como la pérdida de anatomía dental y cambios cromáticos, a menudo requieren reemplazo de las restauraciones, coincidiendo con la elección, en este estudio, de disilicato de litio que se ha consolidado como el material preferido para carillas en el sector anterior, proporcionando resultados tanto funcionales como estéticamente sobresalientes cuando se aplican planes de tratamiento adecuadamente diseñados.

La integración de estas prácticas y materiales en la odontología restauradora refleja un compromiso con la calidad y la atención personalizada, asegurando resultados duraderos y satisfactorios tanto para el paciente como para el profesional dental.

Conclusiones

Las cerámicas poseen propiedades satisfactorias que permiten que sean elegidas con frecuencia en la actualidad para la realización de rehabilitaciones estéticas en los sectores anteriores. Las restauraciones con disilicato de litio poseen características como suficiente adhesión y resistencia, así como biocompatibilidad con los tejidos blandos y similitud con el tejido dental. Esto se traduce en que se considere una opción altamente viable para la rehabilitación del paciente. Se emplearon protocolos validados que incorporan un enfoque multidisciplinario, lo que garantiza estándares estéticos elevados y, al mismo tiempo, asegura la máxima preservación de la estructura dental.

Referencias

Adolfi, D., Tribst, J. P. M., Adolfi, M., Dal Piva, A. M. O., Saavedra, G. S. F. A., & Bottino, M. A. (2020). Lithium Disilicate Crown, Zirconia Hybrid Abutment and Platform Switching to Improve the Esthetics in Anterior Region: A Case Report.Clinical, cosmetic and investigational dentistry,12, 31-40. https://doi.org/10.2147/CCIDE.S234980 [ Links ]

Al-Harthi, A. A.-B. (2018). Laboratory Study of Micro-shear Bond Strength of Two Resin Cements to Leucite Ceramics using Different Ceramic Primers. The journal of contemporary dental practice, 918-924. https://pubmed.ncbi.nlm.nih.gov/30150489/Links ]

Alvarado-Núñez, A., Ramírez-Duarte, S., Nieto-Ramírez, A., & García-Contreras, R. (2018). Alargamiento de corona estético previo a rehabilitación protésica. Informe de caso. Revista clínica de periodoncia, implantología y rehabilitación oral, 11(3), 170-172. https://dx.doi.org/10.4067/S0719-01072018000300170 [ Links ]

Corral Chávez, M. J., Oraa, J. D. J. C., Salas, F. G. R., & Requena, S. (2022). Restablecimiento estético total y multidisciplinario de paciente con sonrisa gingival. Un estudio de casos. Dominio de las Ciencias, 8(3), 121. https://dialnet.unirioja.es/servlet/articulo?codigo=8635298Links ]

García, P. P., da Costa, R. G., Calgaro, M., Ritter, A. V., Correr, G. M., da Cunha, L. F., & Gonzaga, C. C. (2018). Digital smile design and mock-up technique for esthetic treatment planning with porcelain laminate veneers. Journal of conservative dentistry : JCD, 21(4), 455-458. https://doi.org/10.4103/JCD.JCD_172_18. [ Links ]

Gerardo, I., Alfaro, P., Crisbel, K., Zaragoza, G., Camacho, A. N., Karina, R., Delgado, C., Dolores Correia, A., & Valdivia, M. (2021). Tratamiento mínimamente invasivo para restaurar la guía anterior y estética en paciente con erupción pasiva alterada. Odontología Activa Revista Científica, 6(3), 53-58. https://doi.org/10.31984/OACTIVA.V6I3.641 [ Links ]

Olivares, J. M.-I. (2020). Rehabilitación estética asistida por diseño digital de sonrisa en asimetrías dentofaciales: Reporte de caso. International journal of interdisciplinary dentistry, 13(2), 102-104. http://dx.doi.org/10.4067/S2452-55882020000200102 [ Links ]

Ji, M., Xiao, L., Xu, L., Huang, S., & Zhang, D. (2018). How pH is regulated during amelogenesis in dental fluorosis. Experimental and therapeutic medicine, 16(5), 3759-3765. https://doi.org/10.3892/etm.2018.6728 [ Links ]

Kalavacharla, V. K., Lawson, N. C., Ramp, L. C., & Burgess, J. O. (2015). Influence of Etching Protocol and Silane Treatment with a Universal Adhesive on Lithium Disilicate Bond Strength. Operative dentistry, 40(4), 372-378. https://doi.org/10.2341/14-116-L. [ Links ]

Kaur, G., Kaushal, R., & Prabhakar, D. (2021). Esthetic restorations and smile designing: A review. International Journal of Health Sciences, 5(S1), 10-22. https://doi.org/10.53730/ijhs.v5nS1.5273. [ Links ]

Masson Palacios, MJ, & Armas Vega, A C. (2019). Rehabilitación del sector anterior con carillas de porcelana lentes de contacto, guiado por planificación digital. Informe de un caso. Odontología Vital, (30), 79-86. http://www.scielo.sa.cr/scielo.php?script=sci_arttext&pid=S1659-07752019000100079&lng=en&tlng=es. [ Links ]

Mena Silva, P. A., Hidalgo Moya, V. M., & Cevallos Lopez, I. P. (2018). Rehabilitación funcional y estética del sector anterior con carillas indirectas de disilicato de litio. Revista UNIANDES De Ciencias De La Salud, 1(1), 053-059. https://revista.uniandes.edu.ec/ojs/index.php/RUCSALUD/article/view/1137Links ]

Miguel, J., Pablo, J., Ángeles, M., & López, P. (2003). Técnica y sistemática de la preparación y construcción de carillas de porcelana Procedure and clinical aspects of dental preparation and technical fabrication of ceramic laminate veneers. RCOE, 8, 647-668. https://scielo.isciii.es/scielo.php?pid=S1138-123X2003000600005&script=sci_arttext&tlng=ptLinks ]

Ortiz-Calderón, G. I., & Gómez-Stella, L. (2016). Aspectos relevantes de la preparación para carillas anteriores de porcelana: Una revisión. Revista Estomatológica Herediana, 26(2), 110-116. https://dx.doi.org/10.20453/reh.v26i2.2873 [ Links ]

Pinos Narváez, P. A., Morales Bravo, B. R., Cordero López, M. A., & Nugra Pastuzo, A. J. (2020). Carillas de porcelana como solución estética luego de un tratamiento ortodóntico. Reporte de caso. Revista Odontológica Mexicana, 24(4), 290-296. www.medigraphic.org.mxwww.medigraphic.com/Links ]

Salazar-López, C., & Quintana-del Solar, M. (2016). Rehabilitación estética-funcional combinando coronas de disilicato de Litio en el sector anterior y coronas metal-cerámica en el sector posterior. Revista Estomatológica Herediana, 26(2), 102-109. https://doi.org/10.20453/REH.V26I2.2872 [ Links ]

Tabatabaian, F., Vali, S., & Namdari, M. (2022). Effect of surface treatment and surface region on the color stainability of a cemented high-translucency monolithic zirconia ceramic after coffee thermocycling. The Journal of prosthetic dentistry, 127(5), 767.e1-767.e7. https://doi.org/10.1016/j.prosdent.2022.01.032 . [ Links ]

Zlatanovska, Katerina & Dimova, Cena & Zarkova-Atanasova, Julija. (2017). Minimally Invasive Aesthetic Solutions - Porcelain Veneers and Lumineers. Defect and Diffusion Forum, 376, 111-120. 10.4028/www.scientific.net/DDF.376.111. [ Links ]

Recibido: 19 de Julio de 2024; Aprobado: 30 de Agosto de 2024

Creative Commons License Este es un artículo publicado en acceso abierto bajo una licencia Creative Commons