1. Introducción
La brucelosis es una enfermedad antigua que se remonta a más de siete siglos a. de C. según estudios realizados en muestras de antiguos egipcios donde se encontró evidencia de lesiones osteoarticulares comunes de la brucelosis (Pappas & Papadimitriou, 2007). Cinco de las nueve especies de brucela conocidas pueden infectar a los humanos, y entre las más invasivas se encuentran B. militensis, seguida de B. suis, B. abortus y B. canis (Acha & Szyfres, 2003). La brucelosis es causada por la bacteria brucela, que es una infección común que llega a afectar a humanos y animales (Yousefi-Nooraie et al., 2012). Es endémica en países de la cuenca mediterránea, Asia occidental, Golfo Pérsico, partes de África central, Norteamérica, América Latina y leve incidencia en Oceanía (Pappas et al., 2006). Entre los años 2006 y 2015 a nivel mundial, se registraron 924.121 casos de brucelosis por Brucella abortus en ganado bovino, con mayor presencia en América (561.990 casos) (Organización Mundial de Sanidad Animal [OIE], 2017).
Es una de las zoonosis más comunes con más de medio millón de casos de personas afectadas y reportados anualmente (Ran et al., 2019). Se transmite a las personas por contacto directo con animales o a través de fluidos como orina, sangre, semen, secreciones vaginales, heces, luego de abortos o partos a término por fluidos uterinos y la placenta (Carlosama, 2013; Díaz, 2013), por aerosoles infectantes, y consumo de leche y subproductos lácteos no pasteurizados. Las personas con mayor predisposición a contraer la enfermedad son profesionales que están expuestos al ganado infectado o sus productos; veterinarios, laboratoristas, trabajadores de frigoríficos, y de campo, es una de las enfermedades más frecuentes en los mataderos (Peña, 2011). En las comunidades rurales la brucelosis humana tiene una alta incidencia debido a la estrecha convivencia entre humanos y animales. En las áreas en que la brucelosis se presenta de manera endémica el rango varía entre < 0,01 a > 200 por cada 100.000 habitantes (Luna, 2015). En todo el mundo se reportan más de 500.000 casos de brucelosis humana cada año (Carlosama, 2013). La Organización Mundial de la Salud (OMS) informa que 4 de cada 10 habitantes viven en zonas donde se reconoce la presencia de la enfermedad (Paredes, 2012). Los casos de brucelosis humana contabilizados son menores a su incidencia real, debido a que las personas no notifican y a la existencia de casos asintomáticos. En la provincia de Santo Domingo-Ecuador, Cuenca (2013) reportó la presencia de 1,43 % de brucelosis humana. El contagio de brucelosis es un alto riesgo para la salud humana; sus síntomas característicos son fiebre continua, intermitente o irregular, de duración variable (10 a 30 días), cefalea, fatiga, diaforesis, mialgias, pérdida de peso, anorexia, malestar generalizado, con o sin signos de localización como: artritis/espondilitis, meningitis, endocarditis, orquitis/ epididimitis (Ministerio de Salud Pública de la Nación [MSPN], 2013), y en los casos en que la enfermedad se agudiza puede llevar a la muerte (García et al., 2014).
La brucelosis bovina es una enfermedad de declaración obligatoria, de acuerdo con lo sugerido por la OIE (Resolución DAJ-2013461-0201.0214). Con el fin de evitar riesgos ocupacionales en sectores donde exista brucelosis de cualquier especie, se impone el decomiso de glándulas mamarias, órganos genitales, ganglios seleccionados y decomiso total en lesiones generalizadas de los bovinos (Resolución 0197).
De esta enfermedad no se dispone de información actualizada en la provincia de Loja, por lo que el trabajo que se realiza al interno de los camales resulta de vital importancia para vigilar las condiciones de higiene y prevenir enfermedades profesionales. (Resolución DAJ-2013461-0201.0214), ya que es una zoonosis extremadamente infecciosa para el ser humano. Por tanto, el objetivo de la presente investigación es confirmar, a través de la prueba molecular de reacción en cadena de la polimerasa, la presencia de la bacteria Brucella abortus, en nódulos linfáticos de bovinos faenados en un camal de Loja. Para ello se formularon las siguientes hipótesis: (i) existen nódulos linfáticos de ciertas regiones con mayor predisposición a la presencia de la bacteria, (ii) la detección de la brucelosis está en relación con la raza y el sexo del bovino.
2. Materiales y métodos
2.1. Colección de la muestra
Durante un período de tiempo de seis semanas, en el camal de Loja se registró un total de 1.554 bovinos faenados, de esta población de tomó una muestra aleatoria de 115 (78 machos y 37 hembras) con edad promedio de 4,5 años. La selección del tamaño mínimo de muestra para estimar la proporción de afección de la enfermedad se realizó con un nivel de confianza del 95 %, una prevalencia esperada de brucelosis del 3 % (Escobar, 2017), y un margen de error muestral de 3 %. Para el análisis de laboratorio se recolectaron 575 muestras de nódulos linfáticos de la cabeza, los retrofaríngeos laterales, del cuello, los cervicales superficiales, de la cavidad torácica, pulmonares y bronquiales, y de la cavidad pelviana el inguinofemoral. El último sitio de estancia de los animales correspondió a las parroquias urbanas y rurales del cantón Loja: San Lucas, El Sagrario, Sucre, El Valle, Santiago, Yangana, San Sebastián, Jimbilla, Chantaco Gualel, Taquil, Malacatos; así también de los cantones Amaluza, Quilanga y de los sectores El Tambo y Numbala, pertenecientes a la provincia de Zamora Chinchipe.
Para evaluar la distribución de la bacteria según los nódulos linfáticos, se utilizó la prueba de bondad de ajuste chi-cuadrado basada en la diferencia entre las frecuencias observadas y las frecuencias esperadas bajo un comportamiento aleatorio. Para contrastar la segunda hipótesis e identificar si existe relación entre la positividad de la prueba PCR y las tres razas del bovino consideradas en el estudio, se utilizó una prueba chi-cuadrado sobre los residuos estandarizados de Pearson expresados como: d ij = (O ij - E ij )/√E ij, donde Oij representan las frecuencias observadas de individuos en la fila i (raza) y columna j (prueba PCR) de la tabla de contingencia, Eij las frecuencias esperadas respectivamente. La suma de los cuadrados de los residuos estandarizados genera el valor del estadístico de prueba chi-cuadrado.
Las pruebas estadísticas indicadas anteriormente se realizaron con un nivel de significación del 5 %. Todos los cálculos estadísticos se realizaron en el software R (R Core Team, 2020).
2.2. Detección de Brucella abortus mediante PCR
Para la extracción de ADN se pesó 25 mg de cada uno de los tejidos, posteriormente se maceraron en nitrógeno líquido, los tejidos pulverizados se colocaron en tubos eppendor de 1,5 mL, para cada muestra se empleó el kit de extracción de ADN de la empresa Promega, según las indicaciones del fabricante, el ADN obtenido se cuantificó en el espectrofotómetro Nano Drop 2000 seleccionándose las muestras con concentraciones iguales o superiores a 10 ng/ μL, en el mismo equipo se determinó el índice de pureza de la muestra A260/A280 utilizándose las muestras con rango igual o superior a 1,8. La PCR se optimizó dirigida a la amplificación de un fragmento de 223 pb de la secuencia del gen BCSP31, que codifica para una proteína de membrana externa de 31 kDa específica de B. abortus, que se conserva en todas las especies de Brucella (Mayfield et al., 1988). se usaron los primeros B4 (5’-TGGCTCGGTTGCCAATATCAA-3’) y B5 (5’-CGCGCTTGCCTTTCAGGTCTG-3’), la preparación de la PCR se realizó a 25 μL con base en los parámetros que se describen en la Tabla 1.
Los parámetros de amplificación fueron: desnaturalización inicial 95 °C por 3 minutos, 35 ciclos de desnaturalización a 95 °C por 1 minuto, alineamiento a 64 °C por 1 minuto y extensión a 72 °C por 1 minuto; y con una extensión final a 72 °C por 5 minutos, la amplificación se la realizó en el termociclador Applied Biosystems Veriti Thermal Cycler.
Para la electroforesis, se preparó un gel de agarosa con TBE al 1X, agarosa al 1,5 %, y adicionando 0,7 μl de Syber safe, se utilizó un marcador de peso molecular de 100 pb y los productos de PCR 0,8 μl de cada uno se combinaron con 0,2 μL de blue juice para ser depositados en cada pocillo del gel. Se programó la fuente de poder y se realizó la corrida durante 60 min a 80 voltios. La visualización del gel de electroforesis se realizó mediante el sistema de documentación ENDURO™ GDS Touch.
3. Resultados
3.1. Identificación de Brucella abortus en nódulos linfáticos de bovinos faenados en la ciudad de Loja
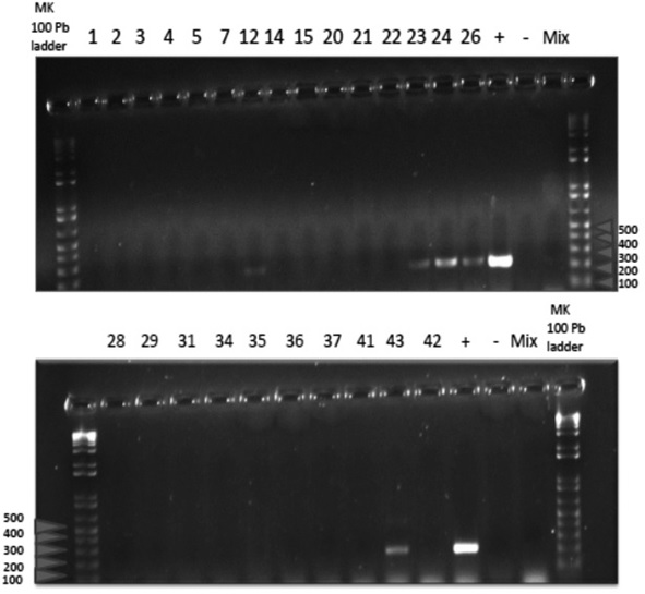
De los 115 bovinos faenados muestreados el 14,8 % (17) resultaron positivos y el 85,2 % (98) negativos a la prueba, la edad de los animales positivos osciló entre 4 y 6 años. Se observó en cinco muestras (muestra Nro.12-23-24-26-43) la amplificación del fragmento de 223 pb de la secuencia del gen BCSP31, la misma amplificación que la del control positivo (+) (Figura 1).
3.2. Detección de ADN de Brucella abortus por localización de los nódulos linfáticos
En un mismo animal faenado, la presencia de la bacteria no fue detectada por igual en los nódulos linfáticos de las cinco regiones investigadas (Tabla 2); sin embargo, estas diferencias no fueron significativas (χ2 = 1,5; g.l. = 4; p = 0,8266).
3.3. Positividad por raza
Los nódulos linfáticos que amplificaron para Brucella abortus pertenecen a los mestizos (criollo-Brown Swiss, criollo-Brahman, criollo-Normando, criollo-Gyr), y a los mestizos con Holstein, descendientes del Bos tauros y Bos indicus. Sin embargo, al evaluar la relación entre la positividad y la raza de los bovinos se observó que ésta no fue significativa (test de asociación de los residuales de Pearson p = 0,1614), con lo cual no hay suficiente evidencia para afirmar que la positividad está asociada con cierta raza (Tabla 3, Figura 2).
3.4. Positividad por sexo
Se muestrearon 78 bovinos macho y 37 hembras bovinas faenados en un camal de Loja, de los cuales 11 machos y 6 hembras respectivamente, se identificaron positivos a la prueba (Tabla 4). Al evaluar la relación entre el sexo del bovino y la positividad de la prueba, no fue significativa (χ2 = 0,000293; g.l. = 1; p = 0,9863), es decir, la bacteria afecta a machos y hembras indistintamente.
3.5. Procedencia de los animales positivos a la prueba
Se registró la ubicación del último predio en el que estuvo el animal antes de su faenamiento (Figura 3). De la parroquia El Valle, de los sectores Jipiro, Jipiro Alto, Chinguilanche y El Valle, en la parroquia El Sagrario en el sector Zamora Huayco, de la parroquia San Sebastián en el sector Dos Puentes, de la parroquia San Lucas en las Juntas plaza de ganado, de Santiago en Cenen y en la parroquia Jimbilla, en Jimbilla, el último predio en donde estuvo el animal, no necesariamente es el sitio en donde el animal se crió. Muchos comerciantes adquieren los animales en las ferias de ganado y los llevan a estos sitios para reponerlos y posteriormente llevarlos a faenamiento
4. Discusión
Después de la infección, brucela se va a localizar en diferentes nódulos linfáticos, entre ellos los supramamarios, retrofaríngeos y mandibulares; nódulos linfáticos ilíacos internos y externos y útero (Forbes et al., 1996), el objetivo del presente estudio fue confirmar a partir de nódulos linfáticos de bovinos faenados la presencia de la bacteria Brucella abortus, en Loja, de los nódulos linfáticos de las cinco regiones investigadas la presencia de la bacteria no fue detectada por igual; sin embargo, estas diferencias no fueron significativas.
Entre el año 2006 y 2015 en el Ecuador se reportaron 6.806 casos de brucelosis por Brucella abortus, en Pichincha 2.207 y Carchi 993 (OIE, 2017), la seroprevalencia en ganado bovino reportada en Loja por Díaz & Lamiña (2013) fue del 0 %, Román-Cárdenas y Chávez-Valdivieso (2016) reportaron el 0,15 %, por pruebas de biología molecular, y Luna (2015) a partir de muestras de nódulos linfáticos y leche de cabra reportaron en Loja la presencia de seis muestras con Brucella abortus. En este estudio la presencia de Brucella abortus detectada en ganado bovino faenado en un camal de Loja, mediante la PCR técnica molecular de alta sensibilidad y especificidad es del 14,8 % (17 casos).
Una de las causas más importantes de la introducción de enfermedades en poblaciones no afectadas, es el ingreso de animales infectados, entre ellas, la adquisición de animales de remplazo de explotaciones cuyo estado sanitario es desconocido o se ha confirmado la presencia de brucelosis (Stringer et al., 2017; Musallam et al., 2015). Por lo que, un factor de la presencia de brucela en Loja podría ser la adquisición de animales de remplazo en provincias de la Sierra, donde se han confirmado casos de brucelosis bovina. En la provincia de Santo Domingo de los Tsáchilas Rodríguez-Hidalgo et al. (2015) reportaron una seroprevalencia de 7,62 %. Según el Programa Nacional de Control de Brucelosis, las regiones Sierra norte y de la Costa se consideran de alta prevalencia, y el riesgo se incrementa al adquirir animales sin los certificados sanitarios respectivos.
Otro factor que podría influir es que Loja comparte límites con la provincia oriental de Zamora Chinchipe, con la que mantiene fuertes vínculos comerciales de ganado, y en donde se ha detectado por biología molecular la presencia de la bacteria, como lo confirman Ojeda & Román (2018), en el que un 7,4 % de las muestras analizadas fueron positivas.
Existen otros factores que representan un riesgo para la presencia de brucelosis bovina, Zambrano-Aguayo et al. (2016), reportan que factores como la raza y el sexo de los bovinos son considerados de riesgo, otros autores también coinciden con estos resultados (Borba et al., 2012; Sanogo et al., 2012; Boukary et al., 2013; Chand & Chhabra, 2013), sin embargo, en el presente estudio éstos no presentaron relación significativa con la seropositividad de la prueba.
5. Conclusiones
Se confirma, mediante la prueba de reacción en cadena de la polimerasa, la presencia de Brucella abortus en ganado faenado en un camal de Loja, la cual no mostró relación, ni con la raza ni con el sexo de los animales faenados, lo que indica que la circulación de la bacteria es independiente de estos factores.





















